Academic Research in Biology
Biology is a campus leader with respect to engaging undergraduates in collaborative research with faculty. Many of our students conduct independent research as part of their departmental and university honors requirements. Our students are frequently coauthors on presentations and publications and their experience and hands-on training makes them highly competitive for acceptance into graduate and professional schools or entry into the life sciences workforce.
- Help support undergraduate research by giving here
- Find out about our research seminars here
- Find out about our annual Undergraduate Research Symposium here (coming soon)
- Explore links below to learn about research being conducted by Biology faculty
Dr. Anderson's research is focused on understanding the cellular and molecular mechanisms necessary for the development of the limb and in particular the elbow joint. Using a joint regeneration model, the lab aims to discern the factors and conditions necessary to elicit a regenerative response in the embryonic chick limb. Research in the lab utilizes embryological surgical manipulation, histological techniques, in situ hybridization, immunohistochemistry, and cell marking.
Email Dr. Anderson to inquire about undergraduate research opportunities.
Dr. Barnes' research examines the functional ecology of plants and global change biology. Specific research topics include physiological plant ecology; grassland & savanna ecology; plant & ecosystem responses to global environmental change; environmental UV photobiology; mechanisms of plant-plant interactions; and plant carbon, water and light relations.
Email Dr. Barnes to inquire about undergraduate research opportunities.
Dr. Bleicher's lab focuses on behavioral and evolutionary dynamics of vertebrate species, especially urban and invasive species. Dr. Bleicher's research fits within the framework of the ecology of fear, which identifies how organisms are responding to risks in their communities as the driving force of population dynamics and community structure (predation and competition). Currently, the lab is focusing on questions associated with how populations of vertebrates are adapting to human generated (anthropogenic) disturbance, and identifying the characteristics of species favored by human modification of our environment. Some species of focus in the lab include Anolis lizards, vipers and small mammals.
Email Dr. Bleicher to inquire about undergraduate research opportunities.
Dr. Bucolo's lab group investigates algal ecology including metabolic contributions to the food web, threats associated with algal blooms, and specific water quality parameters that drive algal population ecology. Dr. Bucolo is particularly interested in how algal ecophysiology is impacted by natural and anthropogenically driven disturbances such as hydrological alteration, salinization, invasive species, land subsidence, severe weather instances, and eutrophication in the highly engineered and rapidly degrading
South Louisiana wetlands.
Email Dr. Bucolo to inquire about undergraduate research opportunities.
Dr. Datta's research is focused on cancer signaling, drug discovery and biomarker development, with special emphasis on breast and prostate cancer.
Email Dr. Datta to inquire about undergraduate research opportunities.
Dr. Mike’s primary research interests are comparative morphology, developmental osteology, and systematics of bony fishes. Research projects on the morphology and development of branchial arches, caudal fin, and vertebral centra are conducted in his laboratory. He is also a team member for collaborative research investigating the anatomy and physiology of the enigmatic American Pocket Shark.
Email Dr. Mike to inquire about undergraduate research opportunities.
The Earls Laboratory is interested in developmental processes that occur in the adult brain. Rather than treat the adult brain as a monolith, we study how the brain continues to execute programmed molecular changes well into adulthood. Our studies are focused on the hippocampus, a region of the brain that is important for learning and memory, and which ages according to a unique molecular program. We use electrophysiology, behavior, genetics, molecular biology and biochemistry to determine the rules that govern hippocampal maturation during early adulthood. These studies have important implications for understanding cognitive diseases, many of which emerge only within specific stages of adulthood. By studying normative early aging, we can better understand the age-dependent cognitive symptoms of diseases such as schizophrenia.
Email Dr. Earls to inquire about undergraduate research opportunities.
An Okaloosa Darter thinking about fish stuff
Since 1992, Professor Frank Jordan and his students have been collaborating with stakeholders from the US Geological Survey, the US Fish & Wildlife Service, and the US Air Force to study the biology, ecology, and conservation of Okaloosa Darters. This species of small fish is geographically limited to six small streams that are located primarily on Eglin Air Force Base in northwestern Florida. These studies included annual population monitoring surveys at a network of about 20 sites; periodic range-wide surveys at over 50 sites; development of sampling statistics and evaluation of visual sampling methods; characterization of microhabitat abundance and use; restoration of impounded stream sections; analysis of population genetic structure; analysis of movement and longevity; and most recently quantifying effects of canopy removal. Collectively, results of these studies largely informed the decision to remove (delist) the species from the Endangered Species List in July 2023. This is a significant conservation milestone because – once listed – few species are recovered enough to come off the List. Read more about this research
Dr. Jordan's lab is also studying the early invasion dynamics of Cuchia (Amphipnous cuchia), which unfortunately was recently introduced into Bayou St. John in New Orleans. This obligate air-breathing species of Asian swamp eel is of concern because it is tolerant of a wide range of salinities, is an opportunistic predator, burrows, and inhabits densely vegetated habitats that are difficult to sample. Dr. Jordan is collaborating with Susan Thomassie, Lucy McCain, and Dr. Laurie Earls to develop an eDNA protocol for monitoring the spread of Cuchia in Bayou St. John and beyond.
Email Dr. Jordan to inquire about undergraduate research opportunities.

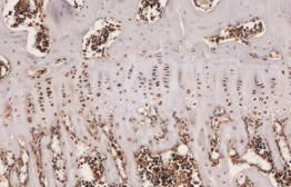
NR4A2 protein distribution in cartilage from the DMM model of arthritis.
Arthritis is a major public health problem and one of the leading causes of disability worldwide. Genetic and environmental factors contribute to the onset of degenerative joint diseases such as osteoarthritis and rheumatoid arthritis. The heterogeneity of these chronic diseases presents therapeutic challenges and joint replacement surgery remains the only viable strategy to restore joint function in advanced disease.
Research led by Dr. Kim Mix aims to elucidate the molecular and cellular events driving cartilage degradation and synovial inflammation in arthritis. The primary goal of this research is to identify novel molecular mechanisms that could be targeted to block inflammation and stop the progression of arthritis. To this end, the lab is investigating an orphan nuclear receptor overexpressed in arthritic tissues, nuclear receptor 4A2 (NR4A2 / Nurr1). This transcription factor regulates the expression of genes mediating inflammation and cartilage degradation in arthritis. Targeting NR4A2 may provide a novel strategy to alleviate symptoms of arthritis and preserve joint function.
Dr. Mix engages undergraduate students in all aspects of this research. Research students learn to culture human cells, extract RNA and proteins, and quantify gene expression changes in models of arthritis. Numerous students have conducted honors thesis research in the lab, co-authored research papers and presented at local and national research conferences. Students interested in collaborating in the lab are encouraged to contact Dr. Mix.
Email Dr. Mix to inquire about undergraduate research opportunities.
Dr. Thomas has an interest in promoting environmental awareness by researching the natural history of invertebrate species (particularly local and tropical spider communities) as well as in providing effective communication of science through community-engaged research, teaching, and outreach. Dr. Thomas and her students focus on environmental issues, such as macroinvertebrate use of invasive plant species in Louisiana wetlands and spider communities in urban landscapes.
Contact Dr. Thomas to inquire about undergraduate research opportunities.
Dr. Walkowski's Lab investigates the neuroethology and social behavior of animals, with a focus on frogs as model systems for understanding communication and decision-making. We take an integrative approach, combining behavioral ecology, physiology, neurobiology, and molecular techniques to explore how the brain receives information from the environment, processes it, and drives appropriate behavioral responses. The lab's research spans multiple levels of analysis-from whole-animal behavior and mate choice experiments to tissue histology, electrophysiology, and transcriptomics. We also examine peripheral sensory structures, such as the eyes and ears, to understand how signal reception shapes communication. In addition to laboratory-based studies, students in the lab gain hands-on field research experience in the swamps of Louisiana and the tropical rainforests of Central and South America, learning how ecological context influences animal signaling and social interactions
Email Dr. Walkowski to inquire about undergraduate research opportunities.
Mark Tobler is the greenhouse coordinator for the Azby Greenhouse Facility. He currently works with Dr.
Paul Barnes examining plant and ecosystem responses to global climate change. Additional research
areas include plant-insect interactions, chemical ecology of plants, and plant population dynamics in wetland ecosystems.
Email Mark Tobler to inquire about undergraduate research and greenhouse volunteering opportunities.

